หัวข้อครอบฟัน และสะพานฟัน

ครอบฟัน คืออะไร

ครอบฟัน คือ ฟันปลอมติดแน่นที่ใช้ทดแทน ที่ช่วยเสริมสร้างความแข็งแรงให้กับตัวฟันที่มีลักษณะผิดปกติหรือได้รับความเสียหายมาก อาจทำจากโลหะล้วนทั้งซี่ เซรามิคล้วน หรือทั้งโลหะและเซรามิค ครอบฟัน เพื่อให้ฟันซี่นั้นมีรูปร่างและประสิทธิภาพการใช้งานดีดังเดิม มีความติดแน่น โดยสามารถปรับสี ให้เข้ากับ สีฟันตามธรรมชาติได้

สะพานฟัน คืออะไร

สะพานฟัน คือ ฟันปลอมชนิดติดแน่นอีกรูปแบบหนึ่ง เพื่อทดแทนฟันที่สูญเสียไป โดยอาศัยฟันธรรมชาติซี่ข้างเคียงเป็นหลักในการยึดติด ไม่สามารถถอดเข้าออกด้วยตัวเองได้ รูปร่างของสะพานฟันก็เหมือนฟันธรรมชาติ ไม่มีตะขอ ไม่มีแผ่นเหงือกปลอม

สอบถามข้อมูลเพิ่มเติม

ข้อดีของการทำครอบฟัน และสะพานฟัน

ครอบฟัน

สะพานฟัน

สะพานฟันมีราคาและคุณภาพที่เทียบเท่ากับการทำการครอบฟันเพียงแต่มีจำนวนซี่มากกว่า

สอบถามข้อมูลเพิ่มเติม

ครอบฟันแค่วันเดียวที่ Bangkok Smile Dental clinic

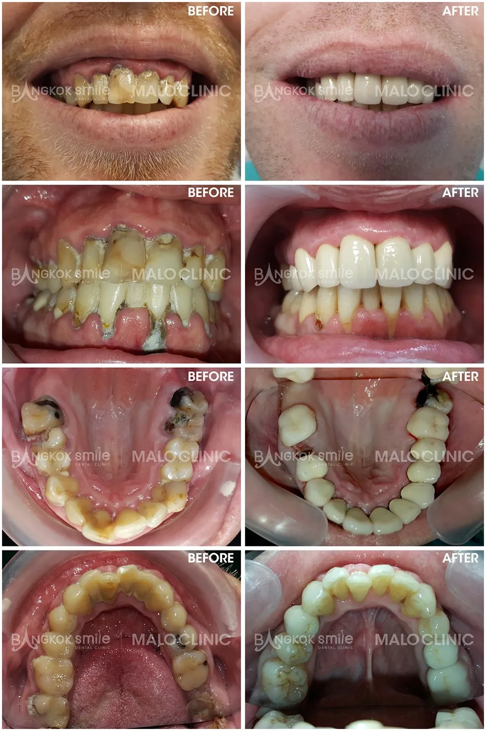
รีวิวคนไข้ครอบฟัน และสะพานฟัน

ครอบฟัน

เริ่มต้น 9,000 บาท
  • สวยงาม ยิ้มด้วยความมั่นใจ ไม่ต้องกังวลเหมือนใส่ฟันปลอม
  • รับประทานอาหารได้ทุกชนิด เคี้ยวอาหารได้อย่างมีประสิทธิภาพ
  • พูดจาชัดถ้อยชัคคำเป็นธรรมชาติ
  • ทำให้โครงสร้างของใบหน้าให้เกิดความสมบูรณ์แบบยิ่งขึ้น
  • สร้างความมั่นใจ และสร้างเสริมคุณภาพชีวิตให้มีความสุขมากยิ่งขึ้น
  • ไม่ต้องกรอฟันเพื่อใส่สะพานฟัน

สะพานฟัน

เริ่มต้น 50,000 บาท
  • สวยงาม ยิ้มด้วยความมั่นใจ ไม่ต้องกังวลเหมือนใส่ฟันปลอม
  • รับประทานอาหารได้ทุกชนิด เคี้ยวอาหารได้อย่างมีประสิทธิภาพ
  • พูดจาชัดถ้อยชัคคำเป็นธรรมชาติ
  • ทำให้โครงสร้างของใบหน้าให้เกิดความสมบูรณ์แบบยิ่งขึ้น
  • สร้างความมั่นใจ และสร้างเสริมคุณภาพชีวิตให้มีความสุขมากยิ่งขึ้น
  • ไม่ต้องกรอฟันเพื่อใส่สะพานฟัน

สอบถามข้อมูลเพิ่มเติม

ฝากชื่อ-นามสกุลให้เจ้าหน้าที่ติดต่อกลับ

Scroll to Top
Privacy Overview

Your Privacy Choices

Necessary Cookies

These trackers are used for activities that are strictly necessary to operate or deliver the service you requested from us and, therefore, do not require you to consent.

Functionality Cookies

These trackers enable basic interactions and functionalities that allow you to access selected features of our service and facilitate your communication with us.

Marketing Cookies

These trackers help us to deliver personalized ads or marketing content to you, and to measure their performance.